Vi anbefaler at du alltid bruker siste versjon av nettleseren din.

Tar i bruk kunstig intelligens

Den nye CT-maskinen i Sykehuset Østfold Moss gir høy bildekvalitet også ved lavere stråledoser, takket være bruk av kunstig intelligens.

Anne-Grete Melkerud
Publisert 11.07.2025
En person som står ved siden av en pasient
​Fagradiografer CT Ali Salahi og Karen Sandbakken demonstrerer hvordan CT-maskinen brukes.

Denne CT-maskinen inneholder en nyere teknologi som benytter kunstig intelligens (KI), både for bilderekonstruksjon og for kameraposisjonering av pasienten.

Den avanserte programvaren i CT-maskinen er trent opp til å gjenkjenne og skille mellom signal fra ulike vevstyper ved hjelp av kunstig intelligens. 
 
- Dette gir maskinen evnen til å fjerne støy i bildene og dermed forbedre bildekvaliteten betraktelig. Det gir oss mulighet til å utføre undersøkelser med lavere stråledoser uten at det går på bekostning av bildekvaliteten. Dette er spesielt viktig for kreftpasienter som ofte er til regelmessige CT-undersøkelser, sier fagradiograf CT, Ali Salahi.
 
Noen få bilder av månen
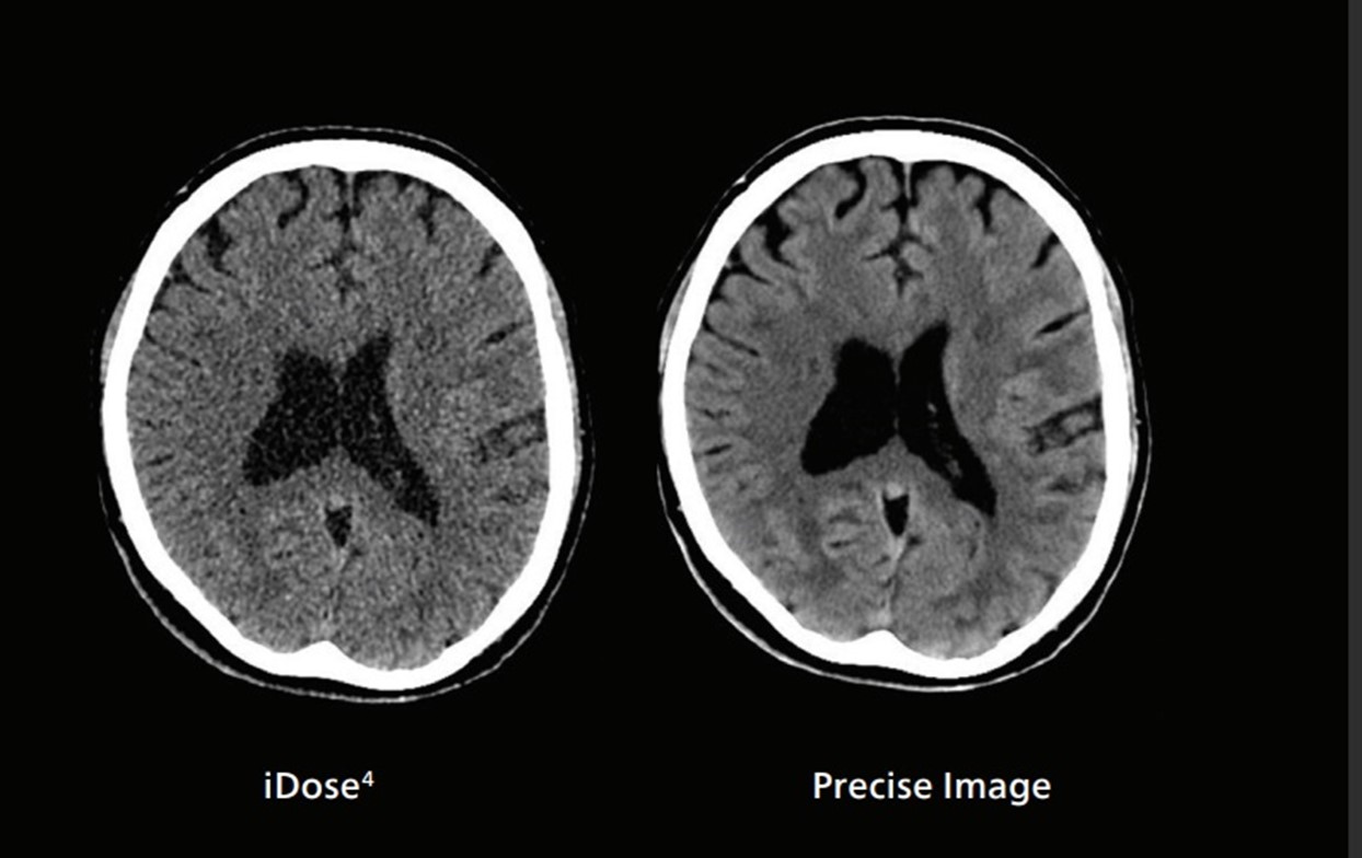
De to CT-bildene er tatt med samme stråledose. Her kan man tydelig se at det høyre bildet som er tatt av CT med avansert KI programvare, er et mye klarere bilde enn det som kommer fra en CT uten tilsvarende programvare. Illustrasjonsbilde: Philips.

Fra en til to maskiner

De siste årene har sykehuset opplevd en markant økning i behov for CT-diagnostikk innen et bredt spekter av fagområder. Økningen i utredning og kontroll av kreftsykdom har utpekt seg spesielt.
- Det er et stort behov for CT-undersøkelser, spesielt for å utrede og følge opp kreftpasienter, sier Salahi.
 
I mars i år økte Sykehuset Østfold kapasiteten med en ekstra maskin i sykehuset i Moss. Nå har sykehuset i Moss to CT-maskiner. Det er også tre CT-maskiner i sykehuset på Kalnes, hvor den ene er en avansert spektral-CT.
 
I 2024 ble det utført omtrent 43 000 CT-undersøkelser i sykehuset. Mens sykehuset på Kalnes er akuttsykehus for pasienter fra hele Østfold og Vestby, er sykehuset i Moss et sykehus for planlagt virksomhet for alle de samme pasientene. Mange av pasientene som skal til en planlagt CT-undersøkelse, får den i sykehuset i Moss. Det gjelder pasienter fra hele Østfold og Vestby.
 
En mann og en kvinne på et sykehusrom
Ali Salahi og Karen Sandbakken, som begge er radiografer med videreutdanning innen CT, er stolte av den nye maskinen.

CT-undersøkelsen

CT (computertomografi) er en undersøkelsesmetode hvor det benyttes røntgenstråling for å ta tverrsnittbilder av kroppen. CT-undersøkelsen er mye brukt i utredning av kreftpasienter i pakkeforløp, og for videre kontroller. Bildene brukes både for kartlegging av svulster, for å vurdere effekt av kreftbehandling og for å ta vevsprøver.
 
I tillegg kan CT blant annet brukes for å undersøke blødninger og utposninger på blodkar, avklare infeksjoner og betennelsestilstander, vurdere tilstander i muskel og skjelett, og for å vurdere ulike organsystem for sykdom, eller for skade i forbindelse med ulykker.

Nøyaktig plassering

En hvit bygning med et tre i bakgrunnen
Kameraet er plassert i det dekorerte taket over pasienten.

Kamera plassert i dekorert takI taket over undersøkelsesbenken, ovenfor pasienten, er det installert et avansert kamera som gjør en beregning av pasientens kroppsstørrelse ved hjelp av kunstig intelligens. Ut i fra denne beregningen justeres bordhøyden slik at pasienten blir liggende midt i maskinen. 

- Dette er veldig viktig for at også CT-maskinen skal oppfatte riktig størrelse på pasienten, noe som vil gi maskinen et bedre utgangspunkt når den beregner nødvendig stråledose, sier fagradiograf CT Karen Sandbakken.

Ligger pasienten litt for høyt eller litt for lavt i forhold til midtpunktet i maskinen, kan pasienten oppfattes som større eller mindre enn han eller hun egentlig er. Da kan man risikere at stråledosen beregnes litt høyere eller litt lavere enn den optimalt trenger å være.
- Det kan være små justeringer som skal til, og her er kameraet trent til å kunne måle ganske nøyaktig, sier Sandbakken.

Kontrolleres alltid

Maskinen har innebygget sentreringslys, i form av laser, som viser hvor midtpunktet i maskinen er. Disse laserlinjene brukes til å kontrollere at pasienten er plassert riktig før undersøkelsen startes.

- Kameraet beregner en bordposisjonering, men noen ganger kan det være faktorer som gjør det nødvendig å justere litt på denne beregningen. Radiografene vil alltid kontrollere at innstillingene er riktige før undersøkelsen startes, sier hun.

 
En persons ben i et bilsete
Den røde laserlinjen viser om pasienten er korrekt plassert.